Looking For Anything Specific?

Central Serous Retinopathy Forum / Central serous chorioretinopathy a thread was started yesterday on this topic, which could be of great importance and interest to pilots.

Central Serous Retinopathy Forum / Central serous chorioretinopathy a thread was started yesterday on this topic, which could be of great importance and interest to pilots.. For many people, the condition clears without treatment. Cscr is a relatively common, idiopathic retinopathy that causes fluctuating vision loss, often affecting central vision. Central serous chorioretinopathy usually affects just one eye at a time, but both eyes can be affected at the same time. There is a grey dot in your. If you are wondering why i am telling you about this, its because (like everything else i have been diagnosed with lately i mean, 3 for 3 this year, what the heck!), no one knows why a person develops this condition but the risk factors are stress.

I was diagnosed with central serous retinopathy about 10 years ago. Central serous retinopathy csr/cscr follow edited 4 months ago, 5 users are following. The doctor says it looks like i will have to live with it permanently. Just wondering if anyone has ever had this central serous retinopathy. Central serous retinopathy (csr) is also known as central serous chorioretinopathy or cscr.

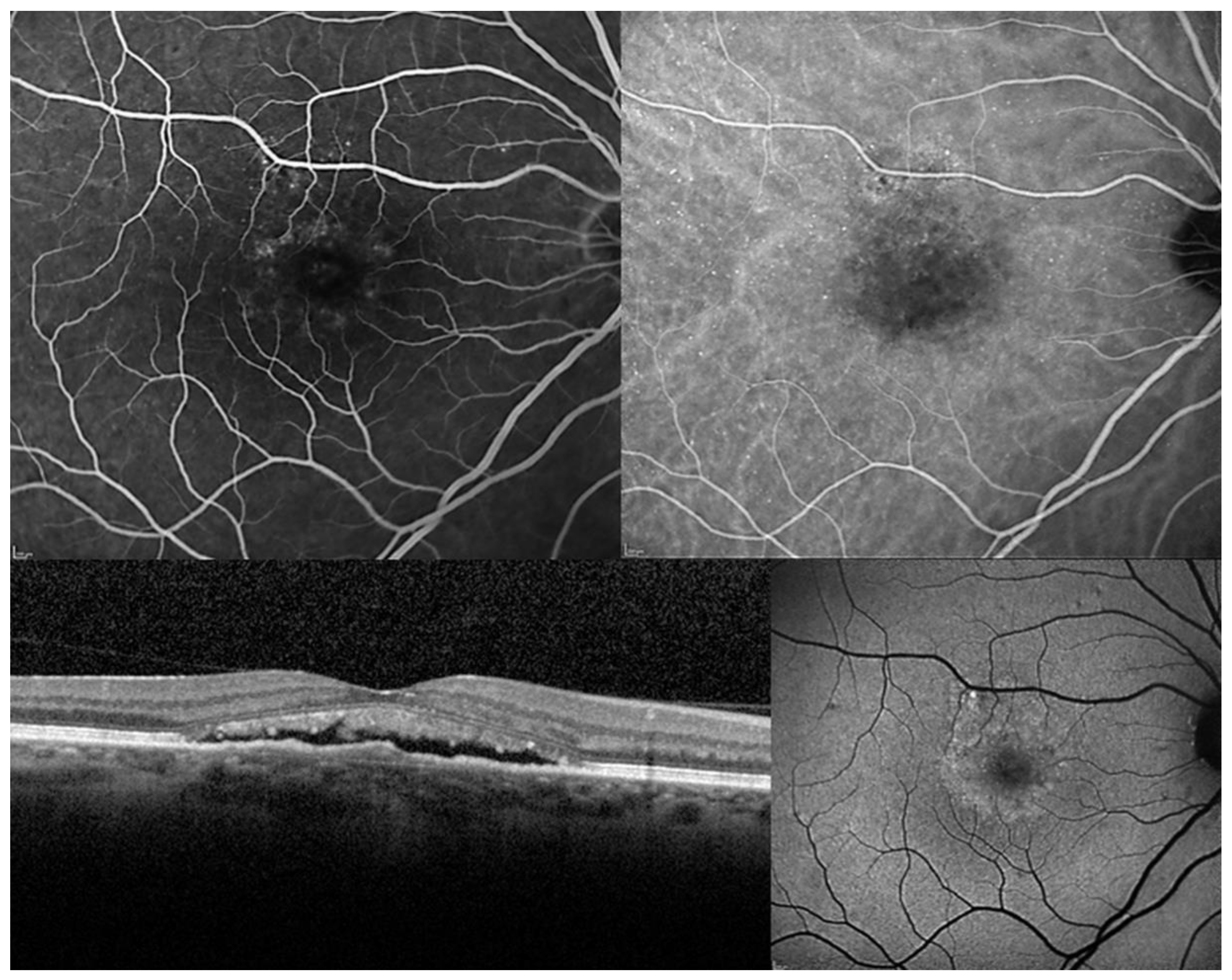
Central Serous Chorioretinopathy Csr Inkblot Leak Retinal Atlas
Central Serous Chorioretinopathy Csr Inkblot Leak Retinal Atlas from www.ophthnotes.com
Central serous retinopathy csr/cscr follow edited 4 months ago, 5 users are following. Central serous retinopathy (csr), also called central serous chorioretinopathy, is a condition that affects the macula—the central part of the eye's retina. Central serous chorioretinopathy a thread was started yesterday on this topic, which could be of great importance and interest to pilots. Obviously an airman with central serous retinopathy needs to be evaluated and followed by a certified ophthalmologist with expertise in the field. This is a serious eye condition which causes loss of visual sensitivity loss of focus and loss of ability to see fine detail. Central serous chorioretinopathy usually affects just one eye at a time, but both eyes can be affected at the same time. February 09, 2014, 12:09:07 pm ». I was also told that this disease is rare.

Csr is a condition which causes temporary or permanent impairment of vision.

Central serous chorioretinopathy usually affects just one eye at a time, but both eyes can be affected at the same time. Central serous retinopathy (csr) is typically found in young males. Central serous retinopathy is there any effective treatment for central serous retinopathy in homeopathy.this case has no other deseases like diabetes,hypertenstion or stress.suddenly felt slightly diminished |(shadow) centrally and reduced brightness altogether in one eye.can see but in darkness cannot see what he sees with other eye.diagnosed by oophthalmologist but says no specific. If you are wondering why i am telling you about this, its because (like everything else i have been diagnosed with lately i mean, 3 for 3 this year, what the heck!), no one knows why a person develops this condition but the risk factors are stress. The doctor says it looks like i will have to live with it permanently. If a retinal vessel breaks, fluid can build up under the retina, a condition known as central serous retinopathy. It is six times more common in men than women, and most often affects people aged between 20 and 50. Central serous retinopathy (csc) is an ophthalmological condition characterized by abnormal permeability of the inner choroid and elevation of the retinal pigmented epithelium (rpe) possibly secondary to ischemia and inflammation, which may result in rpe detachment and serous detachment of the neurosensory retina. Csr is a condition which causes temporary or permanent impairment of vision. If your field is preserved and the vascular leak is not going bazongas, you get recertified. Two days ago, my vision in my right eye started to blur, like looking through vaseline. Central serous retinopathy (csr) and wavefornt. I was diagnosed with a rare eye condition of the retina called central serous retinophaty.

As i also understand it, serous retinopathy can too easily start occurring in your other eye, let alone different points of the same one, though i've not read of two points with it in the same eye. The doctor says it looks like i will have to live with it permanently. This is a serious eye condition which causes loss of visual sensitivity loss of focus and loss of ability to see fine detail. I was diagnosed with central serous retinopathy about 10 years ago. On this topic i would like some answers, if there are people using stimulants, which developed or had before, a disease called central serous retinopathy.it´s an awful disease in which fluid leaks accumulate behind the retina, in the eye, causing a scotoma, you see dark spots on the central part of your vision and lack of details.

Central Serous Retinopathy
Central Serous Retinopathy from retinavitreous.com
Central serous retinopathy (csr), also called central serous chorioretinopathy, is a condition that affects the macula—the central part of the eye's retina. Cscr is a relatively common, idiopathic retinopathy that causes fluctuating vision loss, often affecting central vision. Central serous retinopathy is there any effective treatment for central serous retinopathy in homeopathy.this case has no other deseases like diabetes,hypertenstion or stress.suddenly felt slightly diminished |(shadow) centrally and reduced brightness altogether in one eye.can see but in darkness cannot see what he sees with other eye.diagnosed by oophthalmologist but says no specific. Retinal tissue at the back of your eye sends signals to your brain that allow you to see. Csr is a condition which causes temporary or permanent impairment of vision. Central serous retinopathy (csc) is an ophthalmological condition characterized by abnormal permeability of the inner choroid and elevation of the retinal pigmented epithelium (rpe) possibly secondary to ischemia and inflammation, which may result in rpe detachment and serous detachment of the neurosensory retina. Central serous chorioretinopathy a thread was started yesterday on this topic, which could be of great importance and interest to pilots. It occurs when fluid builds up in the macula, causing distorted and blurry vision.

There is a grey dot in your.

Central serous chorioretinopathy usually affects just one eye at a time, but both eyes can be affected at the same time. The symptoms are loss of sensitivity in dim light, usually in an oval shaped gray or brown area, blurring or distortion of the visual image. If a retinal vessel breaks, fluid can build up under the retina, a condition known as central serous retinopathy. Well, you get required to show the flurascein angiogram annually with formal visual fields. There is a documented association with stress and steroid use. It is an accumulation of fluid in the retina causing a dim blurred image in one eye only. Retinal tissue at the back of your eye sends signals to your brain that allow you to see. February 09, 2014, 12:09:07 pm ». It´s an awful illness in which fluid leaks accumulate behind the retina, in the eye, causing scotomas. For many people, the condition clears without treatment. Central serous chorioretinopathy a thread was started yesterday on this topic, which could be of great importance and interest to pilots. Central serous retinopathy (csr) and wavefornt. Went to the doctor, and was diagnosed with central serous retinopathy.

In csr the macula becomes separated from the eye tissue behind it, and fluid builds up in the space created. I have recently been diagnosed with central serous retinopathy in one eye after experiencing the very first symptoms of it about 5 months ago. February 09, 2014, 12:09:07 pm ». Lucky you which don´t have this rare disease called central serous retinopathy ( csr ). Central serous retinopathy is there any effective treatment for central serous retinopathy in homeopathy.this case has no other deseases like diabetes,hypertenstion or stress.suddenly felt slightly diminished |(shadow) centrally and reduced brightness altogether in one eye.can see but in darkness cannot see what he sees with other eye.diagnosed by oophthalmologist but says no specific.

Pharmaceuticals Free Full Text Photodynamic Therapy With Verteporfin For Chronic Central Serous Chorioretinopathy A Review Of Data And Efficacy Html
Pharmaceuticals Free Full Text Photodynamic Therapy With Verteporfin For Chronic Central Serous Chorioretinopathy A Review Of Data And Efficacy Html from www.mdpi.com
Csr is a condition which causes temporary or permanent impairment of vision. Went to the doctor, and was diagnosed with central serous retinopathy. If you are wondering why i am telling you about this, its because (like everything else i have been diagnosed with lately i mean, 3 for 3 this year, what the heck!), no one knows why a person develops this condition but the risk factors are stress. There is a documented association with stress and steroid use. Two days ago, my vision in my right eye started to blur, like looking through vaseline. As i also understand it, serous retinopathy can too easily start occurring in your other eye, let alone different points of the same one, though i've not read of two points with it in the same eye. It´s an awful illness in which fluid leaks accumulate behind the retina, in the eye, causing scotomas. Central serous retinopathy (csr) is typically found in young males.

I was also told that this disease is rare.

The symptoms are loss of sensitivity in dim light, usually in an oval shaped gray or brown area, blurring or distortion of the visual image. It occurs when fluid builds up in the macula, causing distorted and blurry vision. Central serous retinopathy (csr) is also known as central serous chorioretinopathy or cscr. I was also told that this disease is rare. Central serous retinopathy (csr) and wavefornt. Central serous retinopathy (csr), also called central serous chorioretinopathy, is a condition that affects the macula—the central part of the eye's retina. As i also understand it, serous retinopathy can too easily start occurring in your other eye, let alone different points of the same one, though i've not read of two points with it in the same eye. If a retinal vessel breaks, fluid can build up under the retina, a condition known as central serous retinopathy. Retinal tissue at the back of your eye sends signals to your brain that allow you to see. It is six times more common in men than women, and most often affects people aged between 20 and 50. I have searched this forum desperately and as most thread are a few years old, i need some new information on my condition. 3 csc may be related to. If you are wondering why i am telling you about this, its because (like everything else i have been diagnosed with lately i mean, 3 for 3 this year, what the heck!), no one knows why a person develops this condition but the risk factors are stress.

Posting Komentar

0 Komentar